京阪本線「樟葉駅」徒歩5分

tel.072-864-6435

クリニックの受付の写真

安心信頼矯正治療を提供したい

当院は矯正歯科治療を専門に行うクリニックです
治療について
PHILOSOPHY

「安心と信頼の矯正治療」これが私たちのモットーです

矯正治療にたずさわる私たちスタッフは、患者さんに安心と信頼の治療を提供するため、日々努力し、細心の注意を払って治療に臨んでいます。

プロとして安心できる技術を提供すること。
患者さんとのコミュニケーションを大切にすること。
それが私たちの考える、安心と信頼の矯正治療です。

きれいに治って良かったと思ってもらえるのはもちろんですが、
「ここに来るのが楽しかった」「ここで治療して良かった」と、実感していただけることが私たちの喜びです。

これからも多くの方に、矯正治療の素晴らしさ、重要性を実感していただけるよう、患者さんの笑顔の輪を広げていきたいと思います。

私たちは「チームFOC」です。
FOC エフ・オー・シー:Fukai Orthodontic Clinic

診療室の写真
CONCEPT

当院の矯正治療

歯と矯正装置のイラスト

矯正歯科専門のクリニック

数多くの症例を治療してきた実績があります。より質の高い治療を提供するのはもちろんのこと、専門の知識・技術を有するスタッフが皆様の治療にあたります。

詳しく見る
旗のイラスト

コミュニケーションを重視

皆様が楽しんで通院できるよう、コミュニケーションを重視しています。
毎回の治療説明はもちろんのこと、様々なイベントも行っています。

詳しく見る
歯ブラシのイラスト

ブラッシング指導とMFT

子供から大人まで、矯正専門のトレーニングを受けた歯科衛生士が毎回のブラッシング状態をチェックし指導します。
また歯並びの安定性を向上させるためMFTも導入しています。

詳しく見る
歯の検査のイラスト

検査・診断の重要性

頭部X線規格写真を撮影し、骨格のバランス・歯の位置を計測した上で治療計画を立てます。
またマルチブラケット装置での治療ではVTPを作成して治療目標を設定します。

詳しく見る
矯正装置のイラスト

矯正装置と院内機器

本格的治療に用いるマルチブラケット装置には、子供から大人の方まで皆さんに透明なブラケット装置を使います。
さらに治療開始時は非常に柔らかいアーチワイヤーを用いています。

詳しく見る
請求書のイラスト

安心のトータルフィー

当クリニックの治療費は始めから終わりまでの費用全てを含む、トータルフィーです。毎回の調整料は頂きません。
途中、装置が変わったから、治療が長引くからといってさらなる費用を請求しません。

詳しく見る
診療室の写真
子供の矯正歯科 矯正治療例

矯正歯科治療をおこなうメリット

BENEFITS

01歯並びをきれいにする

歯列を整えることによって見た目をきれいにするだけではなく、歯みがきしやすくなり、将来のむし歯や歯周病の予防にもつながります。

02咀嚼・発音機能の改善

ガタガタの歯並びでよく噛めない場合でも、矯正によってしっかり噛めるように治します。また、発音の改善にもつながります。

03顔貌・口もとの改善

出っ歯などで口もとがでている場合、前歯を引っ込めることできれいな口もとに整えます。

04心理面の改善

歯並び一つで、その人の雰囲気がずいぶん変わることがあります。治療前は伏し目がちだった方が治療後明るくなるケースは数多くあります。

クリニック入口の写真
クリニック入口の写真

代表的な治療例

CASE

※矯正歯科治療は公的健康保険の適用外の自費診療(自由診療)となります。

※治療期間2~4年、通院回数15~40回(治療内容によって変わります)

矯正歯科治療には必ずリスク・副作用がありますことをご理解ください。

本格的治療 叢生-症例1

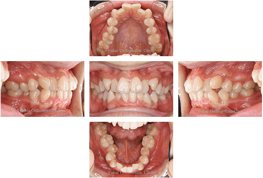
治療前

治療前:本格的治療 叢生-症例1

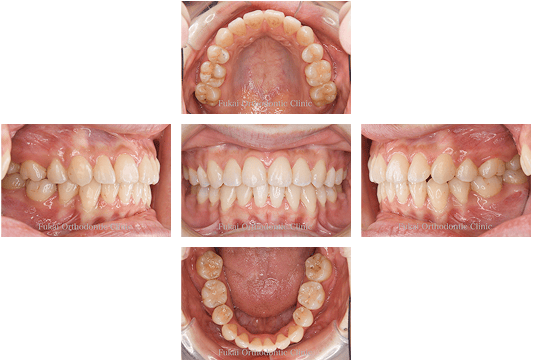
治療後

治療後:本格的治療 叢生-症例1
①主訴 前歯のガタガタ、かみ合わせの悪さ
②診断名 上下前歯部の叢生
③年齢 22歳1か月
④治療に用いた主な装置 上顎歯列の固定式拡大装置(Quad-Helix)、下顎歯列の拡大装置
(Bi-Helix)、上下歯列のマルチブラケット装置
⑤抜歯部位 上下顎の左右第一小臼歯
⑥治療内容 骨格的には上下顎の前後的バランスに問題はないが、正貌から下顎の左方偏位が認められた。上下前歯の前突と著しい叢生により、上下歯列を拡大した上で小臼歯を抜去しマルチブラケット装置を用いて前歯の整列と抜歯スペースの閉鎖を行い、咬合を仕上げた。
⑦治療期間と通院回数 3年10か月、42回
⑧治療費概算 95万7千円
費用について
⑨リスクと副作用 上下小臼歯4本の抜歯、装置による痛み・違和感・口内炎、前歯の歯根吸収と歯髄壊死を起こす可能性、治療期間が長引く可能性、下顎の左方偏位により歯列正中のわずかなずれが残る可能性、歯列の安定を図るためには上下第三大臼歯の抜歯とリテーナーの装着は不可欠。
治療例をもっと見る
RECRUITMENT

スタッフ募集

FOCは頑張るスタッフを全力でサポートします!

※歯科助手、歯科衛生士ともにパートも受け付けています

募集要項を詳しく見る
ABOUT OUR CLINIC

当院のご案内

深井矯正歯科クリニック

〒573-1106 大阪府枚方市町楠葉1-4-8 シャルム橋内ビル3F

アクセス

京阪本線「樟葉駅」徒歩5分

診療時間 日祝
13:10-19:30
10:00-17:00

月曜日:月2回のみ、13:30-19:30 診療

※臨時休診がございます。詳しくは診療カレンダーをご覧ください。